

(圖:IG@jun.amaki)
日本 25 歲女星「天木純」,身高 148 公分的嬌小身型下,卻擁有一對不科學的「I 罩杯」上圍,雖然因此打開了知名度,卻也長期招受不少網友質疑,認為她一定有「加工過」。近日,她就在社群上公開健康檢查的結果,藉此證明自己的巨乳是「100% 純天然」,正式打臉酸民。

(圖:IG@jun.amaki)
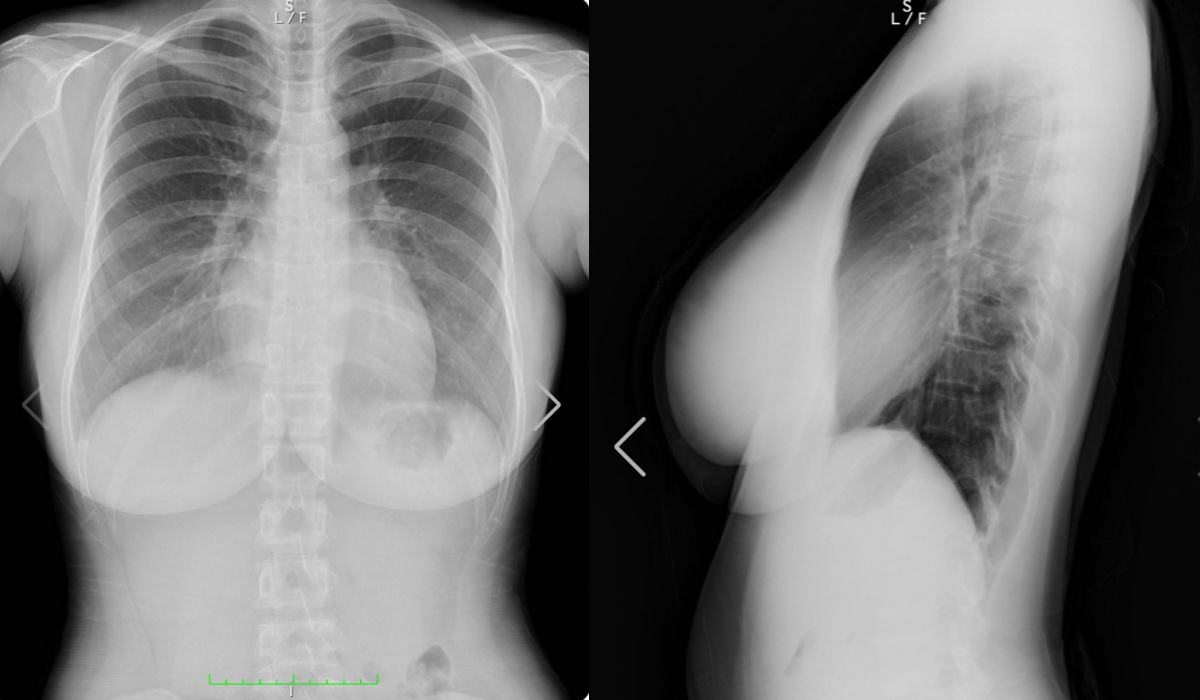
只見她上傳了一組「胸部 X 光片」,同時曬出正面、側面乳房,表示自己的體檢數值相較於前 2 年更健康了,從圖片中可以明顯看出,她的「I 杯豪乳」中並無填充物,傲人車頭燈完全是遺傳的。

(圖:IG@jun.amaki)

(圖:IG@jun.amaki)
此外,她也透露右胸處的黑色影子是胃泡,大家不用太擔心,並表示自己會持續透過運動來維持身體健康。由於天木純在去年 8 月時曾確診 COVID-19,經過一番休養後,如今公開自己健康的體檢結果,不僅讓粉絲放下心中大石,同時也徹底打臉了過去質疑她的人。

(圖:IG@jun.amaki)
貼文曝光後,許多網友都留言鼓勵她,當然也有不少人將焦點放在她的 X 光片上,直呼:「真的是純天然」、「想不到 X 光片也能拍出這種巨大感」、「身材實料就是棒」…

(圖:IG@jun.amaki)

(圖:IG@jun.amaki)
值得一提的是,天木純過去曾透露自己的胸部比起剛出道時,又更軟更彈了,甚至還在節目上自爆「I 罩杯」重達 2.5 公斤,更大方的開放讓其他嘉賓「把玩」她的巨乳,畫面也在網路上遭到瘋傳,成為經典中的經典。


(圖:IG@jun.amaki)
曾是偶像團體「假面女子」的成員,從小就很熱愛唱歌、表演的她,在螢光幕面前永遠都是充滿朝氣的形象、甜美的外表和超暴力的身材,讓天木純成功累積一大票老司機鐵粉。
●天木純 IG 傳送門
本文內容由J編輯撰寫,並非如非法內容農場複製貼上。本文之文字敘述,非經授權不得轉載。

(圖:IG@jun.amaki)

(圖:IG@jun.amaki)

(圖:IG@jun.amaki)
文/Guai
圖擷取自網路,如有疑問請私訊









