
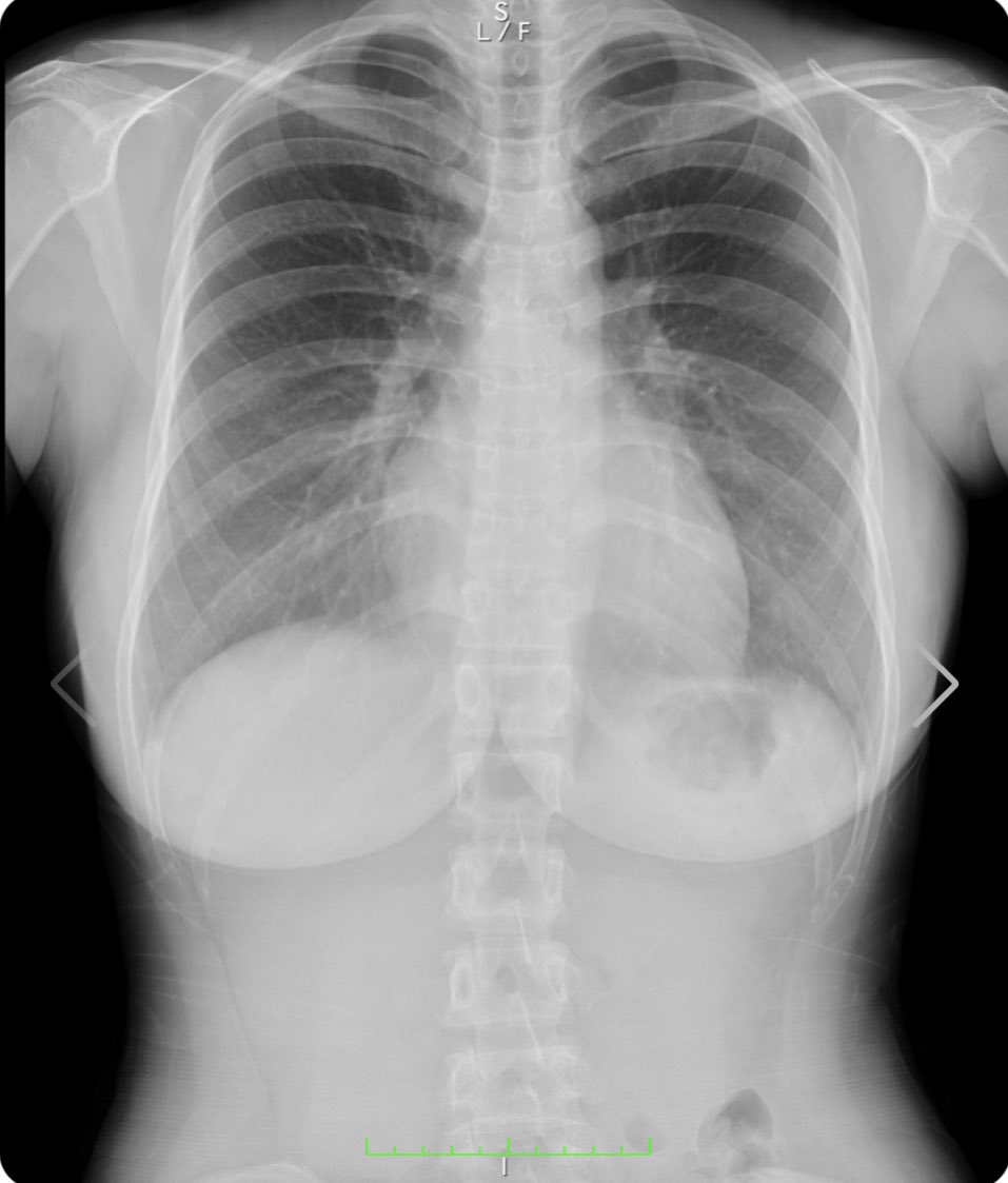
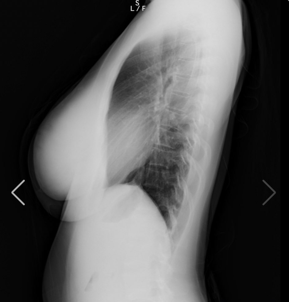
沒看過這麼露骨的照片!日本寫真女星天木じゅん(天木純),一張可愛臉蛋配上核彈級I罩杯巨乳,身高還只有149公分,是公認的「童顏巨乳教主」,最近她在推特上分享了自己的胸部X光照,因為去年8月確診了新冠肺炎,健檢時也拍了X光片檢查自己肺部狀態,順便曬了曬自己的巨乳內可沒有任何填充物,是貨真價實的純天然!




從天木じゅん的X光片中可以隱約看出胸部的線條,飽滿渾圓非常性感(?)她表示畫面中右胸的陰影是胃泡,自己的健康無虞,讓粉絲不需要擔心,而自己的不科學乳量則是遺傳的關係,絕對沒有人工的痕跡,敢這樣大動作澄清,不愧是擁有「天乳」的天木じゅん。



天木じゅん非常著迷拍攝TikTok短片,幾乎沒隔幾天更新,看她跳舞的時候,胸前的巨乳跟著彈阿彈,鼻血也快跟著流阿流了。粉絲看到X光片應該很開心天木じゅん恢復健康,並沒有因為新冠肺炎留下嚴重後遺症,期待她未來能有更火辣的作品。




推特:jun_amaki
【文/JUN】
br>
圖擷取自網路,如有疑問請私訊









